Eyelid Surgery - Case: 28923
Eyelid Surgery
Before & After Photos
Patient Description
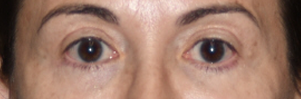
Quad blepharoplasty
Surgeries performed by plastic surgeon Dr. Ronald A. Lohner M.D., F.A.C.S in Bryn Mawr, PA. Schedule a consultation today.
Quad blepharoplasty
Surgeries performed by plastic surgeon Dr. Ronald A. Lohner M.D., F.A.C.S in Bryn Mawr, PA. Schedule a consultation today.